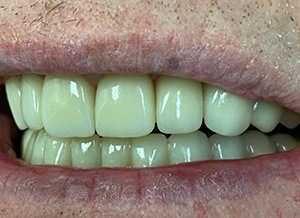
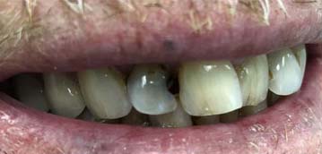
Welcome to our gallery! At the dental offices of Alan Rembos, DDS, we strive to make every appointment a success. Whether you’re coming in for a regular cleaning or receiving advanced and specialized care, Dr. Rembos and our team want you to leave with a smile. We invite you to review our gallery to get familiar with our practice, and to get a glimpse at what we can do for you. To schedule your appointment with our dentist and to receive top-notch dental care in Sanibel and Naples, Florida, please contact our office today. We look forward to helping you enhance your smile!
Alan N. Rembos DDS

























































































































































